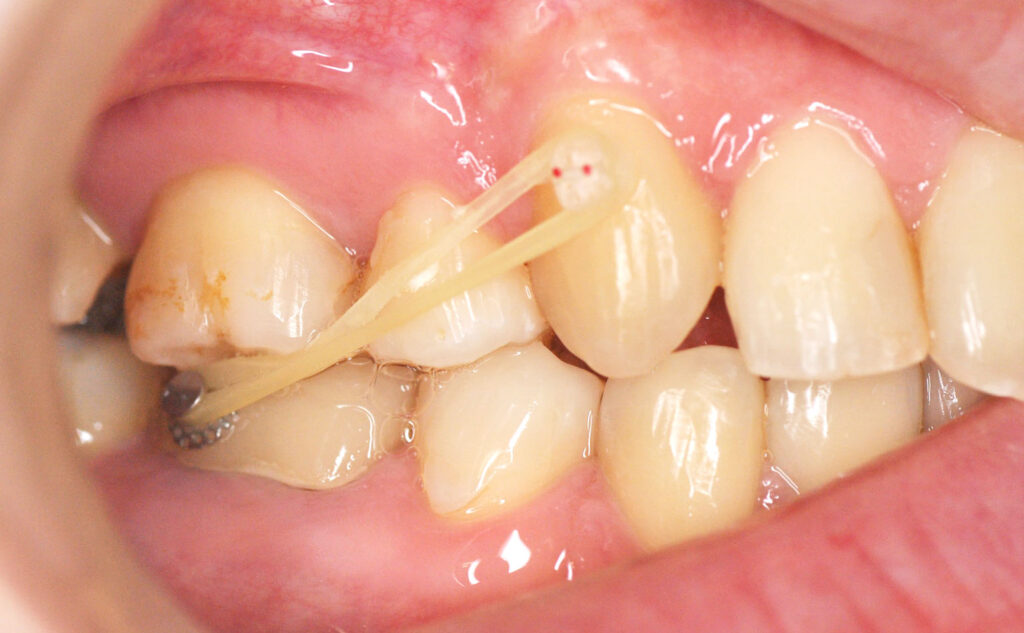
インビザライン治療の経過 インビザ⑭ 2025.08.09 みなさんこんにちは。 歯科助手の川崎です。 追加のマウスピースが届いたので1枚目からまた5日交換して進めていこうと思います。 奥歯がまだかみ合っていないため マウスピースをはめるだけでなく、ゴムかけも一緒に行います。 まだ終了までに少し時間がかかりますが 引き続き頑張っていきます。 次回また経過のお話をしていきます。 定期検診がなぜ必要なのかの記事へ ブログ記事一覧 中日新聞コラム2025年8月26日掲載「入れ歯にすればかぶりつけますか?」の記事へ